Vorher - Nachher

Ergebnisse, die für sich sprechen.

In unserer Galerie zeigen wir Ihnen ausgewählte Vorher-Nachher-Beispiele aus verschiedenen Behandlungsbereichen der Praxis WHITE. Jede Ausgangssituation ist individuell – genau wie die Lösung. Lassen Sie sich inspirieren und gewinnen Sie einen ersten Eindruck davon, was möglich ist.

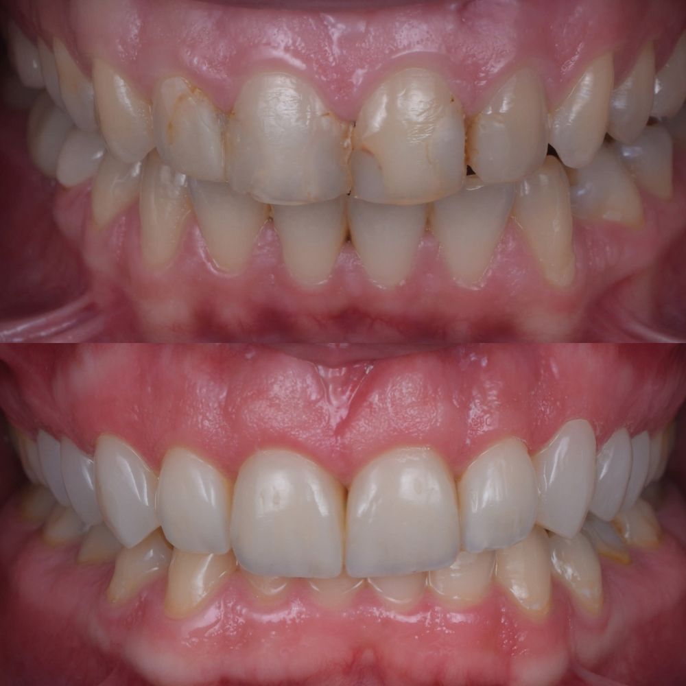
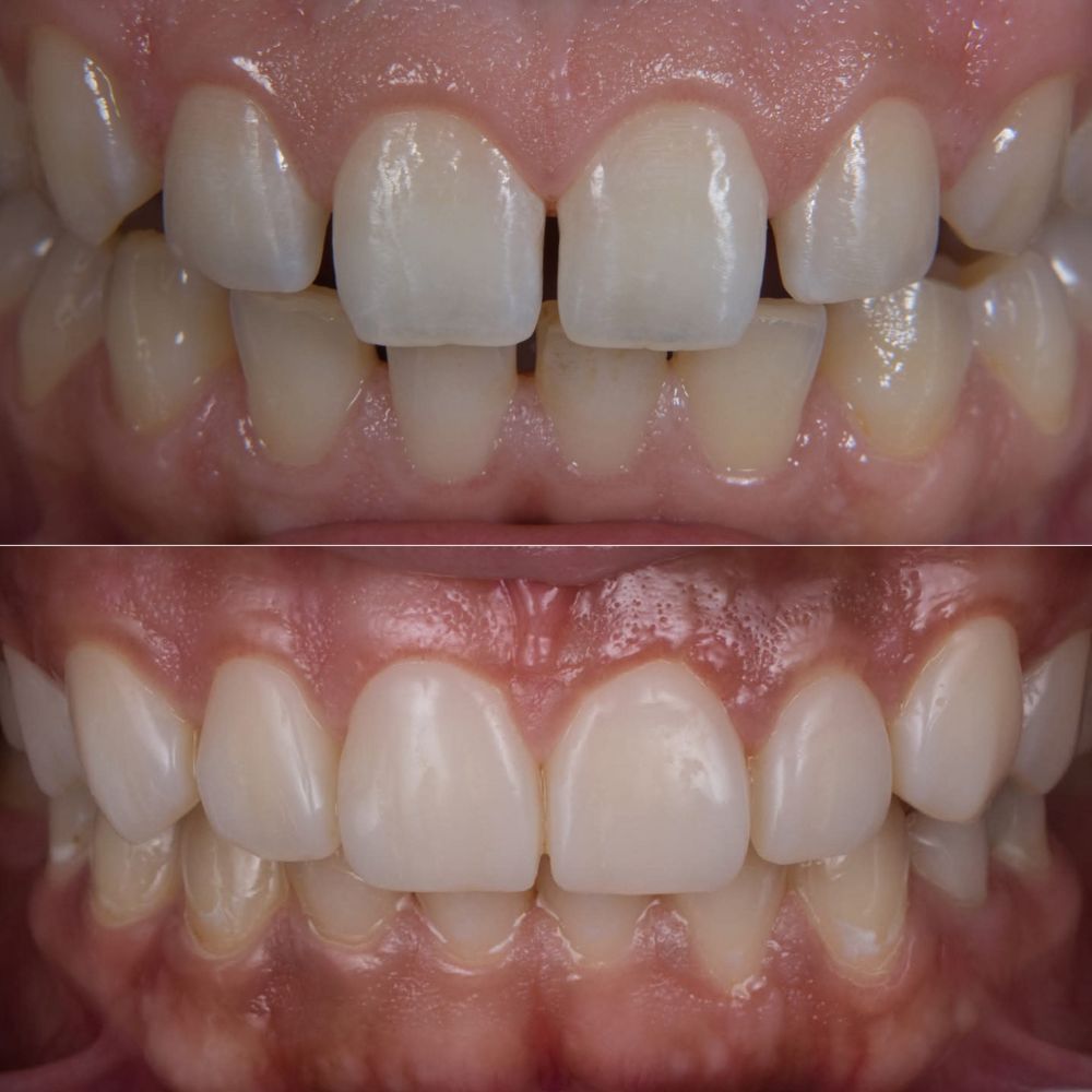
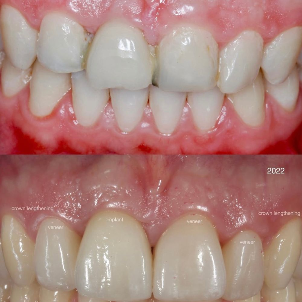
Veneers

Hauchdünne Keramikschalen, die Form, Farbe und Symmetrie Ihrer Zähne sichtbar veredeln – für ein natürliches, ästhetisches Lächeln mit „WOW“-Effekt.

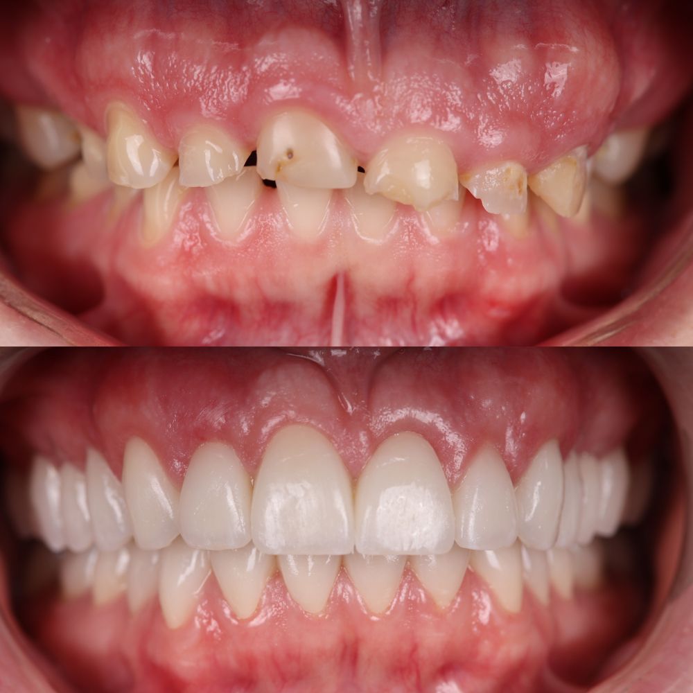
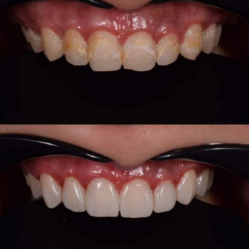
Komposit Veneers

Eine ästhetische Sofortlösung, bei der kleine Makel wie Kanten, Lücken oder Verfärbungen mit hochwertigem Komposit harmonisch ausgeglichen werden.

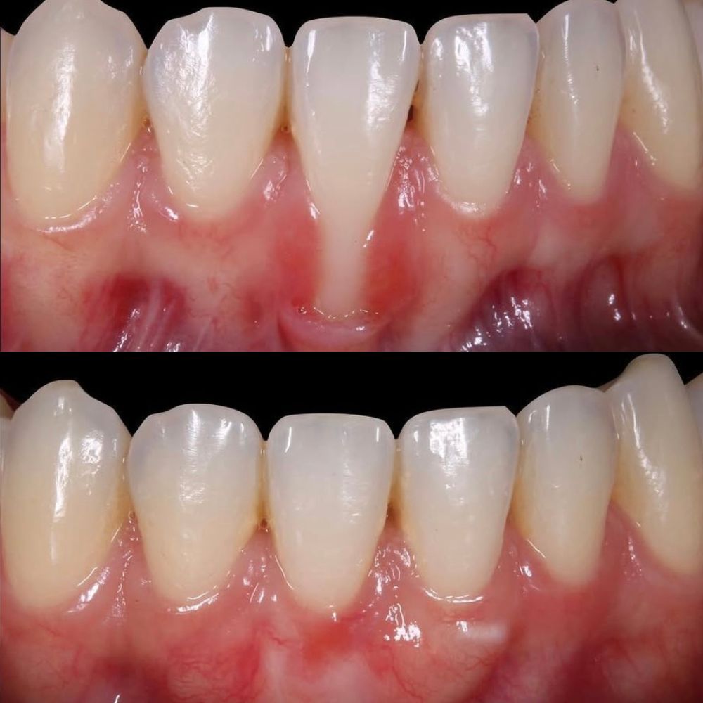
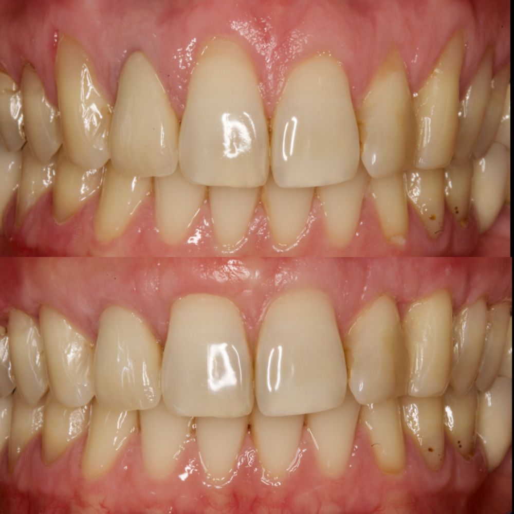
Zahnfleischkorrektur

Wenn das Verhältnis zwischen Zahn und Zahnfleisch nicht stimmig ist, kann eine Korrektur das gesamte Lächeln ruhiger, symmetrischer und „fertiger“ wirken lassen.

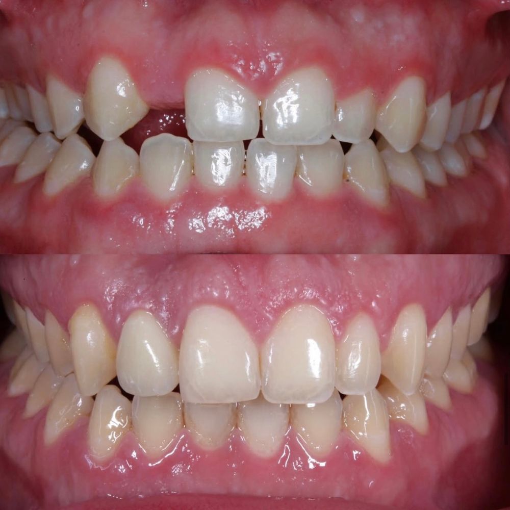
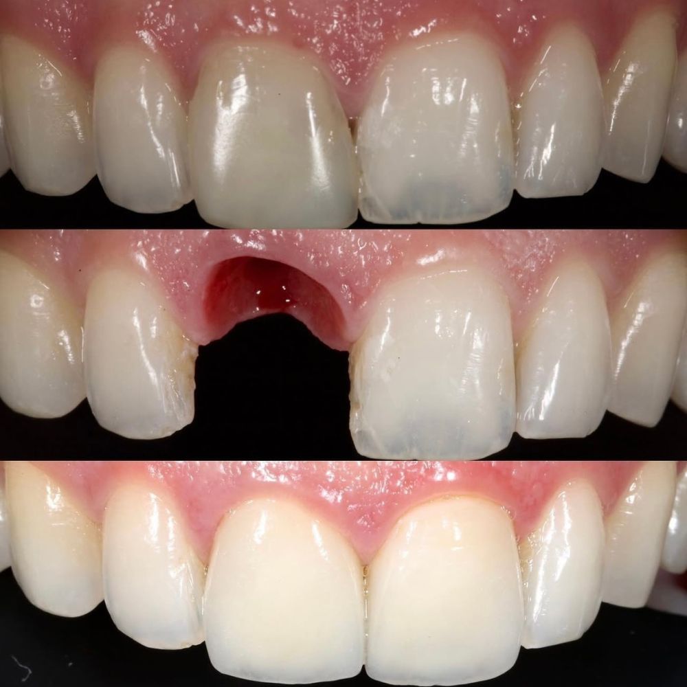
Implantate

Ein fehlender Zahn muss nicht sichtbar bleiben: Implantate ersetzen die Zahnwurzel stabil und langlebig – für sichere Funktion und ein ästhetisches Ergebnis, das sich wie „echt“ anfühlt.

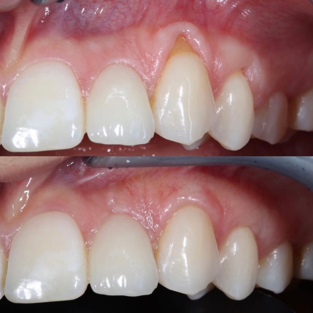
chirurgische Rezessions­deckung

Bei zurückgehendem Zahnfleisch schützen wir empfindliche Zahnhälse und verbessern die Ästhetik – mit dem Ziel, den natürlichen Verlauf des Zahnfleischs wiederherzustellen.

Dr. Farah Aziz lächelt herzlich in die Kamera

Lassen Sie uns sprechen

Sie sind sich noch unsicher, welche Behandlung zu Ihnen passt?

In der Praxis WHITE schauen wir immer individuell auf Ihre Ausgangssituation und finden gemeinsam die Lösung, die wirklich zu Ihnen passt – ob Veneers, Komposit-Veneers, Zahnfleischkorrektur oder Implantate. In einem persönlichen Beratungsgespräch klären wir Ihre Wünsche, die medizinischen Möglichkeiten und was ästhetisch am natürlichsten wirkt.

Logo Zahnarztpraxis WHITE
Logo Zahnarztpraxis WHITE